Case of the Month: February 2026

Title: 66-year-old female with left frontal lobe tumor

Author: Purvi Patel, MD PhD

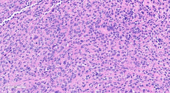
Clinical History: 66-year-old female with presents with seizures and progressive enlargement of anterior cranial fossa presumed meningioma with increased surrounding vasogenic edema approximately 4 years after Gamma Knife surgery. 

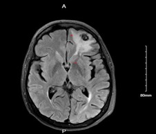
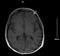
Radiology: Extra axial lesion along the anterior inferior left frontal convexity, demonstrates some mild intrinsic T1 and T2 hyperintense signal, mostly T2/FLAIR hypointense with prominent susceptibility artifact. Moderate amount of T2/FLAIR hyperintense signal within the white matter of anterior and inferior left frontal lobe.

 

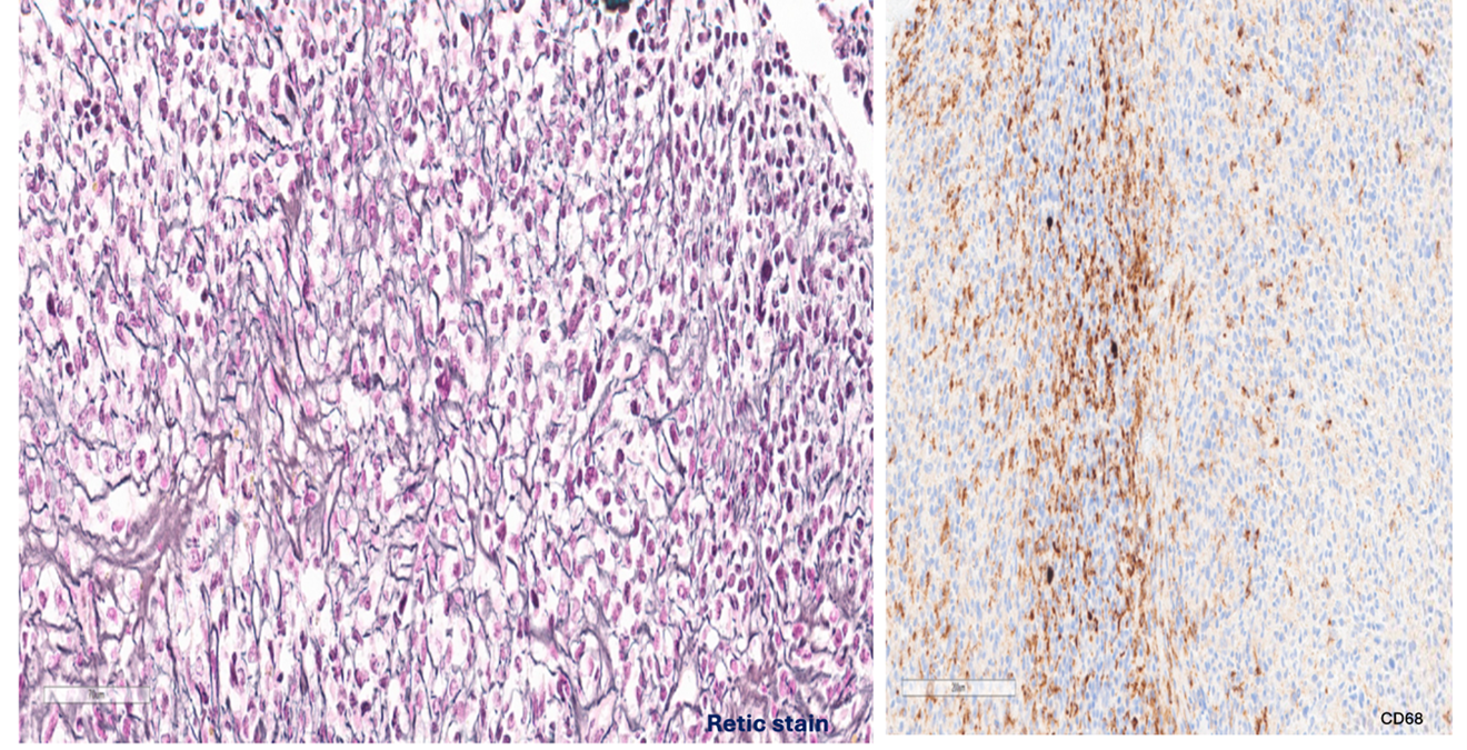
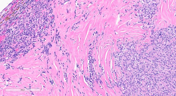
Representative Histology / IHC:

 

Questions for Viewers:

1)     What is the differential diagnosis for this lesion?

2)     What immunohistochemical stains would help with the differential diagnosis?

3)     What are likely molecular alterations found in this lesion?

Diagnosis and Discussion