AANP Case of the Month: April 2026

Title: 43-year-old male with progressive muscular, cognitive, and seizure disorder

Author: Kathryn P. Scherpelz

Clinical History:

- Previously healthy 27-year-old male was assaulted resulting in traumatic brain injury.

- He recovered from the initial brain injury, but over time he developed spastic paresis, seizure disorder, and cognitive impairment.

- He died at age 43 and underwent autopsy.

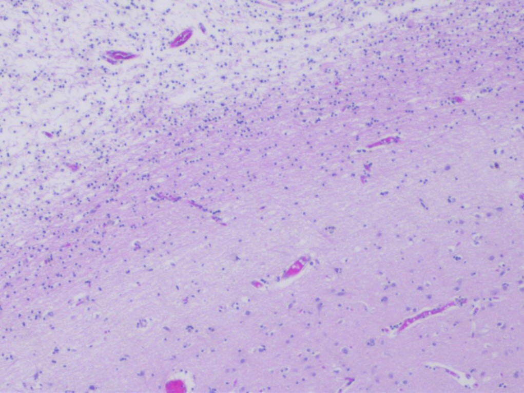
Radiology:

- MRI report noted extensive, bilateral periventricular and subcortical FLAIR white matter abnormalities.

Representative Photograph:

Questions for Viewers:

1)      What general category does this process fall into? (What type of brain tissue is most affected?)

2)      What key features in the history and histology help to make the diagnosis?

3)      What is the likely molecular alteration leading to this lesion?

Diagnosis and Discussion